-
-
COVID insanlarda nasıl bir hasar bıraktı?Pandemi sonrası en çok akıllarda kalan soru COVID-19 virüsünün toplumda kalıcı bir hasar bırakıp bırakmadığı konusu oldu. Peki COVID ne gibi hasarlar bıraktı? Aşının nasıl bir etkisi oldu? İşte detaylar...
-
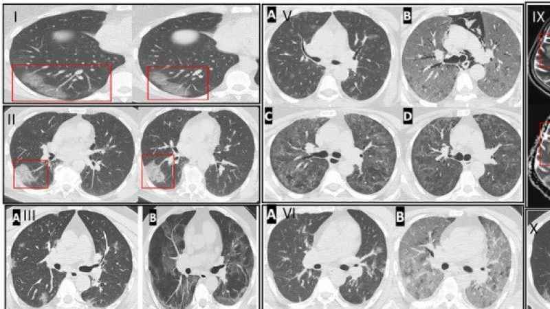
Prof. Dr. Şevket Özkaya, Altınbaş Üniversitesi Tıp Fakültesi Göğüs Hastalıkları Anabilim Dalı öğretim üyelerinin dahil olduğu 12 bine yakın COVID -19 hastasının incelendiği önemli bir klinik çalışma yapıldığını belirtti. Bu araştırmanın sonuçlarına göre COVID-19 virüsü ile enfekte kişilerde ve özellikle akciğer tutulumu olanlarda endotel hasarının görüldüğünün saptandığına işaret etti. Özkaya, özellikle pandemi ile damar hasarı ve tıkanıklıkların genç yaşlara inmesinin COVID salgını mı yoksa aşıların mı neden olduğu sorusunun ise hem tıp camiasında hem de toplumda tartışmaları devam ettiğini söyledi.
Bilimsel araştırmalara göre bir insanda damar tıkanıklığı olması için 3 faktörün etkili olduğunu belirten Prof. Dr. Şevket Özkaya, “En önemli faktör, endotel hasar dediğimiz damarlarımızın en içteki katmanında hasar oluşması. İki, hiperkoagulabilire dediğimiz aileden gelen kalıtsal ve sonradan gelişen pıhtılaşmaya yatkınlık. Ve son olarak da Tıpta "staz" dediğimiz ve halk diliyle hareketsiz kalmak olarak tabir edilen faktörler etkili” bilgilerini paylaştı.
VİRÜS HALA ARAMIZDA
Prof. Dr. Şevket Özkaya buna göre, uzun süren hareketsizlik yani 2-3 saatten fazla oturarak hareketsiz yapılan yolculuklar, hastalıkların neden olduğu uzun süre yatakta olmak gibi kan akışının yavaşladığı durumlarda, ailesinde damar tıkanıklığı öyküsü olanlarda artık damar tıkanıklıklarının genç yaşlara indiğini vurguladı. Bunun birincil sebebinin COVID -19 virüsünün vücutta yerleştiğinde kanı oluşturan plazmayı, tahrip edici hale getirerek endotel denilen damarların en içteki katmanını tahrip ederek damar tıkanıklığının ilk basamağını ortaya çıkardığını anlattı. Bunun tetikleyici faktör olduğunun altını çizen Özkaya, “Aşılar bu hastalıkta bizi koruyan bir faktör idi. Genç yaşlarda damar tıkanıklıklarının görülmesi, aşılardan bağımsız ve öncelikle COVID -19 virüsünün etkileri ve bireysel faktörlere bağlıdır. Şunu unutmamak lazım; salgın bitti ama virus hala aramızda ve yeniden ağır ve kritik hastalar görmeye başladık” diyerek uyarılarda bulundu.

Yorum yazarak topluluk kurallarımızı kabul etmiş bulunuyor ve tüm sorumluluğu üstleniyorsunuz. Yazılan yorumlardan Son Saat hiçbir şekilde sorumlu tutulamaz.
-


Yorum Yazın